El diario inglés The Guardian realizó una investigación para explicar cómo y por qué la enfermedad Covid-19 se está convirtiendo en una de las más letales de nuestro siglo.
Lo primero que el medio explica es el origen de la enfermedad, que sabemos se gestó en la localidad de Wuhan, en China, luego de que se detectarán varios casos de neumonía con causa desconocida.
Con el avanzar de los días, se descubrió que la causa de las neumonías era un nuevo virus: el coronavirus 2 del síndrome respiratorio agudo severo o Sars-CoV-2.
La enfermedad causada por ese virus es el Covid-19.
Cuatro categorías de pacientes Covid-19
De acuerdo a la entrevista realizada al médico respiratorio, John Wilson, este virus tiene una amplia variedad de efectos en las personas que lo padecen: desde cero manifestación de síntomas hasta una enfermedad grave como la neumonía.
En base a lo compartido por la Organización Mundial de la Salud (OMS), alrededor del 80% de las personas con Covid-19 se recuperan sin necesidad de ningún tratamiento especializado y solo 1 de cada 6 personas se enferma gravemente "y desarrolla dificultad para respirar". ¿Por qué entonces esta enfermedad se ha convertido una pandemia tan preocupante?

Según Wilson, que además de médico respiratorio es Presidente electo del Royal Australasian College of Physicians, existen cuatro tipos de clasificaciones de pacientes de Covid-19:
-Los menos graves que son aquellas personas que son "subclínicas" y que tienen el virus pero no tienen síntomas.
-Los que contraen una infección en el tracto respiratorio superior, y que presenta fiebre, tos y quizás síntomas más leves como dolor de cabeza o conjuntivitis. "Son personas con síntomas menores que transmiten el virus, pero sin saberlo”.
-Luego está el grupo más grande que es de las personas con más probabilidades de presentarse en hospitales y cirugías, aquellos que desarrollan síntomas similares a la gripe, que generalmente los inhabilitaría de ir a trabajar.
-Y finalmente está el cuarto grupo que es el que desarrollará una infección grave y que llegará a neumonía. La OMS dice que los ancianos y las personas con problemas crónicos como presión arterial alta, problemas cardíacos y pulmonares o diabetes, tienen más probabilidades de desarrollar enfermedades graves como esta.
¿Qué características tiene la neumonía ocasionada por el Covid-19?
De acuerdo a Wilson, la neumonía que nace del Covid-19 comienza con una infección que llega al árbol respiratorio. Es decir, a los conductos que conducen el aire del exterior a los pulmones.
"Lo que viene después es que el revestimiento del árbol respiratorio se lesiona, causando inflamación. Esto a su vez irrita los nervios en el revestimiento de las vías respiratorias. Si esto empeora, la inflamación entra a las unidades de intercambio de gases y si estas se infectan, el material inflamatorio alcanza los alvéolos, que son el fondo de nuestros pulmones".

Los alveolos son diminutos sacos de aire en las terminaciones de los bronquiolos, son la última parada de las ramas del árbol respiratorio humano. Es aquí donde los pulmones y el torrente sanguíneo intercambian dióxido de carbono y oxígeno.
Si los sacos de aire se inflaman, dice Wilson, esto provoca una "efusión de material inflamatorio [líquido y células inflamatorias] en los pulmones y terminamos con neumonía". Esto hace que el torrente sanguíneo no pueda recibir suficiente oxígeno, reduciendo función primaria de los pulmones, que es la capacidad de tomar oxígeno y eliminar el dióxido de carbono.
"Esa es la causa habitual de muerte por neumonía grave", enfatiza.
¿Cómo se puede tratar?
Por el momento no existe ningún tratamiento establecido para frenar esa neumonía.
Lo que se hace es entregar tratamiento de apoyo, como ventilación mecánica y altos niveles de oxígeno para que los pulmones puedan funcionar de manera normal mientras se recuperan. A eso se puede sumar el uso de medicamentos antivirales y antibióticos si el paciente desarrolla una infección secundaria.
Pero en algunas situaciones eso no es suficiente. En algunos casos, la neumonía no disminuye y los pacientes no sobreviven.
A eso, también se agrega el hecho de que la neumonía por Covid-19 es diferente de los casos más comunes de neumonía porque responde a un virus y no a una causa bacteriana que puede ser tratada con antibióticos.
La respuesta automática del cuerpo
Siguiendo con la explicación de Wilson, la primera respuesta natural del cuerpo, en presencia de neumonía en los sacos de aire, es ir a destruir el virus y limitar su replicación.
No obstante, "este mecanismo de primera respuesta puede verse afectado en algunos grupos, incluidas las personas con afecciones cardíacas y pulmonares subyacentes, diabetes y ancianos".
Así, a mayor edad y ante la presencia de otras enfermedades crónicas, el cuerpo presenta un sistema inmunitario más debilitado, lo que dificultaría la lucha natural del cuerpo contra las infecciones y enfermedades.

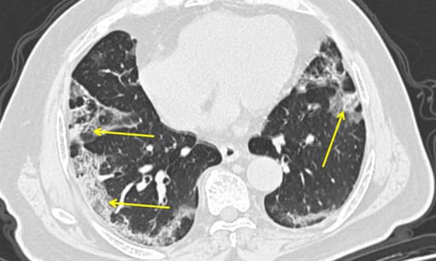
Tomografía computarizada de un hombre con Covid-19. La neumonía causada por el nuevo coronavirus puede aparecer como parches nebulosos en los bordes exteriores de los pulmones, indicados por flechas. Fotografía: Hospital Mount Sinai / AP
Te puede interesar: Metallica trasmitirá conciertos todos los lunes por sus redes sociales
Sigue a Rockandpop.cl en Google Discover
Recibe nuestros contenidos directamente en tu feed.