Estábamos esperanzados en la recuperación de Dave Grohl, que tras romperse la pierna en un concierto, viajó a Londres y se dejó ver con muletas y en silla de ruedas.
Pero, tras una exhaustiva evaluación médica, su equipo prefirió cancelar los grandes shows en el estadio de Wembley, su participación en Glastonbury y el resto de su gira europea.
Revisa a continuación el relato con el que el líder de Foo Fighters cuenta la historia y explica las razones de la cancelación
Hola a todos ....
Su viejo amigo, Dave aquí. Ha pasado un tiempo, ¿eh? Ha sido un infierno de año, de seguro. ¡Parece que tenemos algunos graves asuntos para ponernos al día! Hmmm, vamos a ver ... ¿Por dónde puedo empezar?
Redoble, por favor ....
¡Lo más gracioso que me ha pasado, el otro día en Suecia!
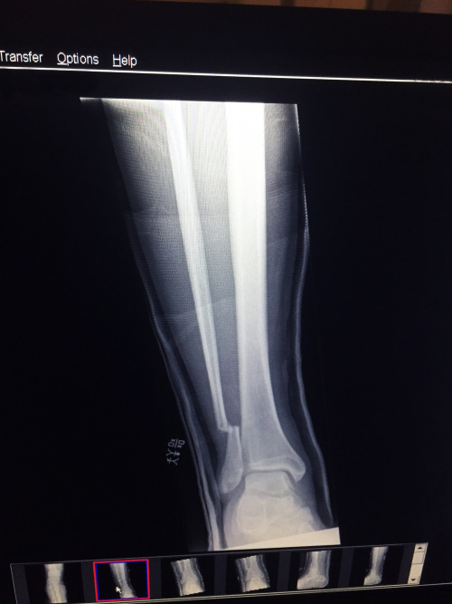
Con dos canciones de nuestro set en el estadio Ullevi de Gotemburgo, hice una carrera loca a la derecha del escenario durante Monkey Wrench para complacer a los niños en la delantera. Fue una noche hermosa, hermoso estadio, 52.000 personas gritando... ¡un show soñado! Algo así, definitivamente zafado (ZING!) Terminé con los pies por encima del borde (nunca mejor dicho), cayendo cerca de 12 pies (N. de la T: poco más de 3 metros y medio), dislocándome el tobillo y rompiendo mi peroné como un viejo par de palillos en acción. Whoopsie daisy. No fue bueno. Sin darme cuenta de la magnitud de mis heridas, me puse de pie para volver al escenario y caí como un saco de Joe Theismanns (búsquelo, chiquillos). Esta mierda era F-R-A-C-T-U-R-A.
Mientras yacía allí de espaldas, pensé, "¿Estás bromeando? ¿Ni siquiera hemos llegado al punto más gritón de la canción y el concierto se tiene que ACABAR?" Entonces, pedí un micrófono y le dije a la audiencia que me dejaran arreglarme y volver para terminar el show lo antes posible. ¿Shockeado? Probablemente. Pero, no podía soportar la idea que una noche perfecta se echara a perder. Miré a nuestro baterista Taylor y le dije: "Lánzate algunos covers de Chevy Metal y cúbreme mientras me arreglan" Así que, ya con la banda tocando "Stay With Me" de The Faces, los médicos me tiraron en una camilla, me llevaron a un lado, cortaron mis pantalones favoritos (muy fastidioso) y pusieron mi tobillo en su lugar. Les pregunté si podía volver al escenario para terminar el show, pero me dijeron que necesitaba un yeso (Estaba a 20 minutos del hospital) para sujetar el tobillo en su lugar. Así que miré a mi enfermero, Johan, a los ojos y le dije: "Bueno, entonces me llevas para arriba y te quedas allí conmigo para mantener el tobillo en su lugar hasta que puedan traer especialistas. ¿Listo?" Me miró con los ojos abiertos por un segundo y dijo:" Está bien, vamos"
No sé quién estaba más asustado, yo o Johan. 5 minutos más tarde, no sé que estaba pasándolo mejor, yo o Johan. (De hecho, lo miré entre canciones y dije: "Esto es muy divertido, ¿no?" Él sonrió y asintió con la cabeza.)
Puntuales, los especialistas llegaron, caminé fuera del escenario para una canción o dos y luego regresé a terminar el concierto. Hay que decir que cuando canté "Walk" con una cara seria, era un esfuerzo bastante jodido. "These Days" fue buena, también. (¡Fácil decirlo! ¡Tu pierna nunca se ha roto!) En general, fue sin lugar a dudas uno de los shows más extraños de Foo Fighters en 20 años de carrera. Me rindo. Lo que parecía una tragedia en un primer momento se convirtió en un triunfo y nos fuimos con un nuevo sentido de aprecio por lo que tenemos.
Luego, directo al hospital para radiografías, donde finalmente vimos la magnitud de los daños. Fue entonces cuando las cosas se pusieron realmente reales. Me dijeron que necesitaba cirugía para reparar la fractura. Decidí volar de regreso a Londres y encontrar un médico que pudiera verme lo antes posible. (¡Gracias por la recomendación, Paul!) Una resonancia magnética y unas radiografías, fijó una fecha y prepararon la operación.
Y salió bien. Tenía un gran equipo y fue una agradable estancia en el hospital. ¡Buen curry, también! ¡Gracias a todos los involucrados!
Así que ... aquí estoy, recuperándome con 6 tornillos de metal en mi pierna, pensando en la vida y en la TSA de aquí a Kalamazoo ... demonios.
Aquí está la parte no tan ingeniosa... mis médicos me han aconsejado mantener un perfil bajo durante un tiempo. Es lo más importante ahora para recuperarme de la cirugía, mantener mi pierna elevada, mantener la hinchazón y prevenir cualquier infección/complicación que podría hacerme daño a largo plazo. Aún no estoy fuera de peligro, gente...
Lo que significa, y me mata decirlo... los médicos nos han dicho que tenemos que cancelar shows. Realmente lo siento, chicos. Saben que odio hacerlo, pero me temo que simplemente no me es físicamente posible en este momento. Estamos haciendo nuestro mejor esfuerzo ahora mismo para elaborar un plan, así que téngannos paciencia. Saben que somos buenos para cumplir nuestra palabra. Pero por ahora, necesito esto para asegurar que tendremos años de conciertos por delante.
Ustedes siempre han apoyado a nuestra banda, y siempre estaremos junto a ustedes. Como digo en cada show, no estaríamos aquí si no fuera por ustedes. Y me refiero a eso. Les doy las gracias desde el fondo de mi corazón. Y voy a hacer todo lo posible para volver y darle una noche para recordar por el resto de sus vidas LO ANTES POSIBLE.
Hasta entonces ... mis más sinceras disculpas.
Tu amigo, Dave
PS ...... Kanye ... Imma permitirá tener este...

Sigue a Rockandpop.cl en Google Discover
Recibe nuestros contenidos directamente en tu feed.

